Hersenbeschadiging is een enorm probleem voor de volksgezondheid. Wereldwijd treft het jaarlijks zo’n 60 miljoen mensen. Het is de belangrijkste doodsoorzaak voor jonge volwassenen. Betere en snellere behandelingsmethodes kunnen levens redden en de kwaliteit daarvan verbeteren. Dat was de reden waarom de universiteit van Cambridge samen met het Imperial College London een studie is gestart om met behulp van kunstmatige intelligentie en CT-scans (computertomografie) verschillende soorten van hersenletsel sneller op te kunnen sporen, te identificeren en te behandelen.
Dat onderzoek heeft nu resultaat opgeleverd, meldt de universiteit Cambridge. Er is volgens de universiteit een KI-algoritme ontwikkeld dat snel en accuraat een diagnose kan stellen. Het algoritme zal in eerste instantie vooral worden gebruikt voor onderzoek. Maar het zou volgens de onderzoekers ook prima kunnen worden gebruikt op plekken waar weinig radiologen beschikbaar zijn. De resultaten van de studie zijn gepubliceerd in The Lancet Digital Health.
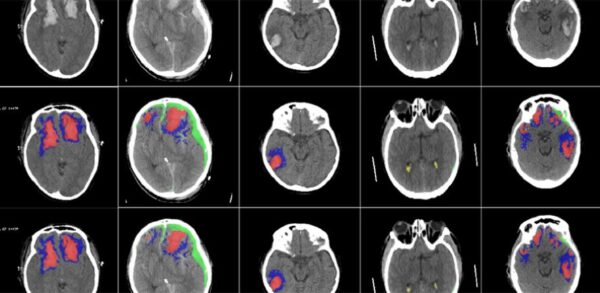
Computertomografie
“Computertomografie is een ongelooflijk belangrijk diagnostisch hulpmiddel, maar het wordt zelden kwantitatief gebruikt”, zegt professor David Menon van het Department of Medicine binnen de universiteit. “CT-scans bevatten heel veel informatie, waarvan vaak een groot deel wordt gemist.”

Het is volgens onderzoeker Virginia Newcombe ook een kwestie van tijd. “Een gedetailleerde beoordeling van een CT-scan kan uren duren, vooral bij patiënten met ernstige verwondingen. Wij wilden een instrument ontwikkelen dat automatisch en snel de verschillende soorten hersenletsel kan identificeren en kwantificeren.”
600 scans om te leren
Voor de studie ontwikkelden de onderzoekers een kunstmatig neuraal netwerk dat ze trainde met behulp van ruim 600 CT-scans waarop alle soorten van hersenletsel te zien waren in meerdere gradaties van ernstigheid. Vervolgens hebben ze het neurale netwerk weer getest met een grote dataset van CT-scans. En daar is een KI-algoritme uitgerold dat in staat is heel nauwkeurige diagnoses te stellen en te zeggen of een hersenscan normaal is of niet. “We hopen dat het ons zal helpen in de toekomst een meer gepersonaliseerde behandeling voor patiënten te ontwikkelen,” zegt Menon.




