


Second phase Brainport Industries Campus will be even greener

Standardized construction: “Say goodbye to the labyrinth of building construction planning”

Disposable plastic largely banned from 2024 onward: Footprint offers plant-based alternatives to food industry

Consumption of IT exploded. This Eindhoven-based company creates order out of chaos

‘We’re only going to succeed with the knowledge of tomorrow’

Repair platform Jafix.com gives broken things a second or even a third life

TOMO is ‘world’s first circular department store’

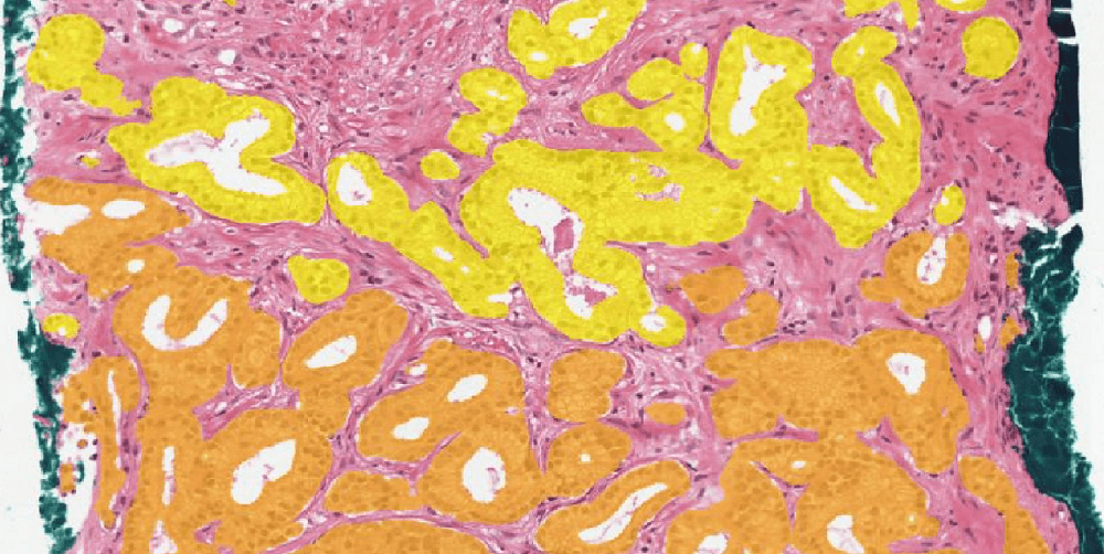
Aiosyn leverages AI to get faster cancer diagnoses

