In Deutschland erkranken jährlich ca. 4.500 Menschen an einem Gliom, dem häufigsten und bösartigsten Hirntumor bei Erwachsenen. Da diese Art Tumor äußerst widerstandsfähig ist, sind Chemo- oder Strahlentherapie nur begrenzt wirksam und die Tumoren können auch durch eine Operation oft nicht vollständig entfernt werden. Daher forschen Wissenschaftler seit Langem mit Hochdruck nach neuen Behandlungsansätzen.
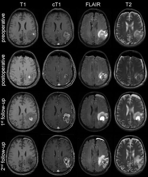
Einer der wichtigsten Faktoren bei der Beurteilung der Wirksamkeit einer neuen Therapie bei Hirntumoren ist, laut Aussagen von Spezialisten, die Wachstumsdynamik, die über Standard-Magnetresonanztomographien (MRT) ermittelt wird. Diese Aufnahmen sind jedoch fehleranfällig und führen beim manuellen Messen der Tumorausdehnung leicht zu abweichenden Ergebnissen. „Das kann die Beurteilung des Therapieansprechens und in der Folge die Reproduzierbarkeit und Präzision von wissenschaftlichen Aussagen, die auf Bildgebung beruhen, negativ beeinflussen“, erklärt Martin Bendszus, der Ärztliche Direktor der Abteilung Neuroradiologie am Universitätsklinikum Heidelberg.
Ein Team des Universitätsklinikums Heidelberg (UKHD) und des Deutschen Krebsforschungszentrums (DKFZ) hat deshalb nun ein neues, maschinelles Verfahren zur automatisierten Bild-Analyse von Hirntumoren entwickelt. Dafür haben die Wissenschaftler Algorithmen und neuronale Netzwerke entworfen, die das Therapieansprechen bei Hirntumoren anhand von MRT-Aufnahmen verlässlicher und präziser wiedergeben können als traditionelle radiologische Verfahren.
Anhand einer Referenzdatenbank mit MRT-Untersuchungen von knapp 500 Hirntumorpatienten des Universitätsklinikums Heidelberg erlernten die Algorithmen die Hirntumoren automatisch zu erkennen und zu lokalisieren. Außerdem konnten die Algorithmen die einzelnen Bereiche (kontrastmittelaufnehmender Tumoranteil, peritumorales Ödem) volumetrisch vermessen und das Therapieansprechen präzise beurteilen.

Die Ergebnisse des Forschungsprojekts wurden in Kooperation mit der European Organisation for Research and Treatment of Cancer (EORTC) umfassend validiert. „Die Auswertung von über 2.000 MRT-Untersuchungen von 534 Glioblastom-Patienten aus ganz Europa zeigt, dass unser computerbasierter Ansatz eine zuverlässigere Beurteilung des Therapieansprechens ermöglicht, als es mit der herkömmlichen Methode der manuellen Messung möglich wäre“, erklärt Philipp Kickingereder aus der Abteilung Neuroradiologie am Universitätsklinikum Heidelberg. „Wir konnten die Verlässlichkeit der Beurteilung um 36 Prozent verbessern. Das kann für die auf Bildgebung basierende Beurteilung der Wirksamkeit einer Therapie in klinischen Studien von entscheidender Bedeutung sein. Auch die Vorhersage des Gesamtüberlebens war mit unserem neuen Verfahren exakter möglich.“
Technik künftig auch auf andere Krankheiten übertragbar
Die Forscher hoffen, dass diese Technik schon bald in klinischen Studien und künftig auch in der klinischen Routine zur standardisierten und vollautomatischen Beurteilung des Therapieansprechens von Hirntumoren eingesetzt werden kann. Dazu konzipierten und evaluierten sie eine Softwareinfrastruktur, damit die Technik in bestehende radiologische Infrastruktur integriert werden kann. „Damit schaffen wir die Voraussetzungen für einen breiten Einsatz und eine vollautomatisierte Verarbeitung und Analyse von MRT-Untersuchungen bei Hirntumoren innerhalb weniger Minuten“, erläutert Klaus Maier-Hein aus der Abteilung Medizinische Bildverarbeitung am Deutschen Krebsforschungszentrum.
Zu Zeit wird die neue Technologie am NCT Heidelberg als Teilaspekt einer klinischen Studie zur besseren Behandlung von Glioblastompatienten erneut evaluiert. „Für Präzisionstherapien ist eine standardisierte und verlässliche Beurteilung der Effektivität der neuen Behandlungsansätze von herausragender Bedeutung. Hier kann die von uns entwickelte Technologie möglicherweise einen entscheidenden Beitrag leisten“, erklärt der Leiter der Neurologischen Klinik des Universitätsklinikums Heidelberg, Wolfgang Wick.
Philipp Kickingereder sagt, dass er und seine Kollegen mit dieser Arbeit das große Potenzial von künstlichen neuronalen Netzwerken in der radiologischen Diagnostik belegen konnten. Klaus Maier-Hein hofft, die Technologie zur automatisierten Hochdurchsatzanalyse von medizinischen Bilddaten weiter voranzubringen und „sie neben dem Einsatz bei Hirntumoren auch auf andere Krankheiten wie z.B. Hirnmetastasen oder multiple Sklerose übertragen [zu können].“
Das könnte Sie auch interessieren:
Unbekanntes Protein entdeckt: Neue Erkenntnisse zur Entstehung und Therapie von Krebs
Sport als effektive Zusatztherapie zur Strahlentherapie bei Krebs
Stresshormone fördern die Metastasierung von Brustkrebs
Krebsforschung – personalisierte Therapien möglich
Innovationen, die die Krebsbehandlung verändern werden (3): Immuntherapie
Innovationen, die die Krebsbehandlung verändern werden (1): Gentherapie mit Clostridien




